Dentures
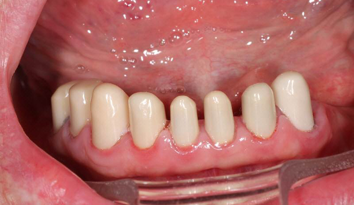
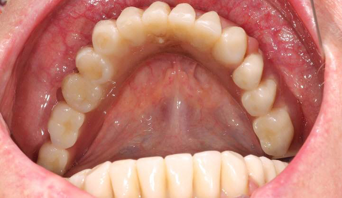
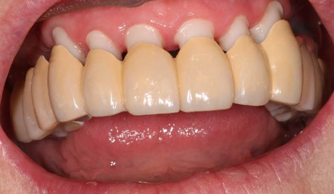
Dentures are not always easy to get on with - they can be uncomfortable, move around in your mouth and make eating and talking difficult. However today's modern dentures and techniques mean you no longer have to put up with uncomfortable and perhaps unrealistic dentures that can slip out of place when eating or talking.
In some cases, we can use strong and permanent dental implants to hold dentures firmly in place, allowing you to eat and talk comfortably and without embarrassment. They are invisible, and combined with today's modern denture-making techniques; give you a natural-looking and confident smile.
For some patients, we may recommend a telescopic denture, which is the new technique to restore new teeth for patients who have not lost all of their teeth. It consists of a double crown system known as "the telescopic". The procedure involves fitting the remaining teeth with inner zirconia/ceramic crowns, followed by outer crowns as part of an over-denture that can be removed by the patient. This technique ensures that bite stress is distributed evenly between each tooth, protecting the remaining teeth and making the end result to look natural.




This page was last updated on the 18th of March 2016